Patient Education

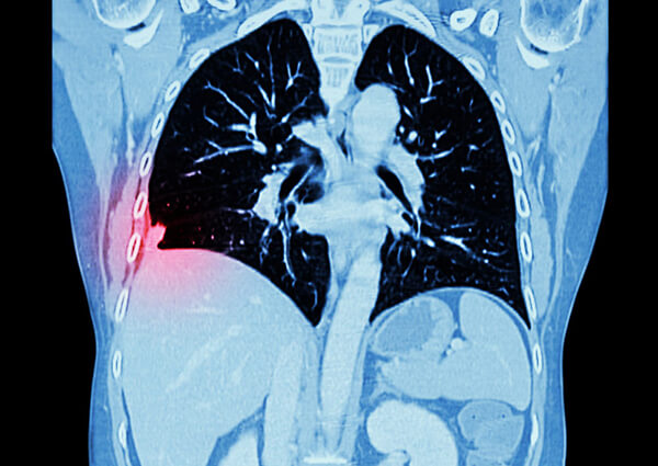
Body Imaging radiologists specialize in interpreting exams and diagnosing diseases related to the chest, abdomen, and pelvis; Most commonly in the lungs, liver, stomach, spine, pelvis, kidneys, colon, and pancreas. Body imaging specialist often works closely with nuclear medicine radiologists in the follow-up, staging, and treatment of cancers.

body_img_1
musculoskeletal_img_1

Special Procedures read/performed by our Body Imaging radiologists:

  • MRI Enterography
  • CT Virtual Colonoscopy
  • Fluoroscopy of Gastrointestinal tract, esophagrams, and barium swallows.

Exams read by our Body Imaging radiologists:

  • Computed Tomography (CT) exams of the chest, abdomen and pelvis
  • MRI of the abdomen and pelvis
  • Ultrasound exams of the abdomen, pelvis, kidneys, thyroid, and soft tissues masses.
  • X-ray exams of the chest, abdomen, and pelvis
     
American College of Radiology

Why Choose Us

SimonMed Imaging and its affiliates have been serving the community for over 30 years. Our mission is to provide best-in class affordable care through the use of advanced technology. We have patient-focused staff and highly trained medical professionals.

SimonMed has over 160 convenient locations across 11 states and provides late night and weekend appointments to accommodate patients.

RadSite Logo
Top Doctor Icon
Intelerad Logo
LifeImage
Sectra Logo
RadSite Icon