Patient Education

Neuroradiologists specialize in the diagnosis and follow up of diseases and abnormalities affecting the brain, head, neck, spinal cord, and spine. The examinations allow neuroradiolgoists to diagnose strokes, tumors, genetic conditions, aneurysms, Alzheimer’s disease, and many other cases of neurological dysfunction at an early stage.
neuroradiologists2
neuroradiologists1

Exams read by Neuroradiologists:

  • MRI (Magnetic resonance imaging) of the brain, head, neck, and spine.
  • MRA (Magnetic resonance angiogram) of the brain, head, neck, and spine.
  • CT (Computed tomography) scan of the brain, head, neck, and spine.
  • X-rays of the brain, head, neck, and spine.
  • Ultrasound Sonography of the brain, head, neck, and spine.
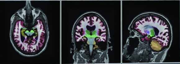
SimonMed Imaging’s new Neuro Degenerative Diagnostic Centers are now offering NeuroQuant quantitative
MRI measurement software as a routine part of SimonMed’s neurodegenerative imaging practice.

NeuroQuant™ is the leading FDA-cleared, fully automated quantitative brain imaging analysis software
which provides high-resolution 3D volumetric analysis of subcortical brain structures and compares them to
a normative database ranging in age from 3-100.
NeuroQuant generates an almost instantaneous color-coded
3D data set of anatomic brain structures along with three graphic volumetric data reports of the patient’s
quantitative brain analysis compared with age-matched controls.

SimonMed’s team of experienced Neuroradiologists are using NeuroQuant routinely on all patients with a
history of memory loss, cognitive impairment, dementia, traumatic brain injury (TBI) and seizures as part of
our standard protocols for these indications. The three automated graphic volumetric reports include a general
morphology report, age-related atrophy report and hippocampal volume asymmetry report. These separate
reports are used together to produce accurate, consistent and reproducible analysis, monitoring and longitudinal
objective tracking of disease progression in patients with Alzheimer’s disease, TBI and seizures increasing
diagnostic accuracy and improving patient care.
American College of Radiology

Why Choose Us

SimonMed Imaging and its affiliates have been serving the community for over 30 years. Our mission is to provide best-in class affordable care through the use of advanced technology. We have patient-focused staff and highly trained medical professionals.

SimonMed has over 160 convenient locations across 11 states and provides late night and weekend appointments to accommodate patients.

RadSite Logo
Top Doctor Icon
Intelerad Logo
LifeImage
Sectra Logo
RadSite Icon